Looking For Anything Specific?

Niemann Pick Disease - What is Niemann-Pick Disease? - Jewish Disease DNA / It has a wide range of symptoms that vary in severity.

Niemann Pick Disease - What is Niemann-Pick Disease? - Jewish Disease DNA / It has a wide range of symptoms that vary in severity.. There are three common forms of the disease: This is a group of disorders. There are three common forms of the disease: At npuk we are dedicated to supporting the individuals, families and friends affected by these conditions. Lipids (fatty materials such as waxes, fatty acids, oils, and cholesterol) and proteins are usually broken down into smaller components to provide energy for the body.

It has a wide range of symptoms that vary in severity. This leads to the abnormal accumulation of these substances within various tissues of the body, including brain tissue. Type a, type b, type c1, and type c2. This condition causes the liver and the spleen to become enlarged and the child not to thrive. There are three common forms of the disease:

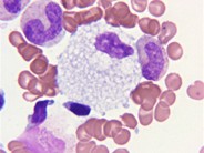
Niemann-Pick disease, light micrograph - Stock Image ...
Niemann-Pick disease, light micrograph - Stock Image ... from media.sciencephoto.com
We believe in a future where all rare diseases are understood and treated. Type a, type b, type c1, and type c2. These types are classified on the basis of genetic cause and the signs and symptoms of the condition. In 1914 albert niemann, a german pediatrician who primarily studied infant metabolism, published a description of an ashkenazi jewish infant with jaundice, nervous system and brain impairments, swollen lymph nodes (lymphadenopathy), and an enlarged liver and spleen (hepatosplenomegaly). Deficiency of acid sphingomyelinase 1,3,4. It breaks down a fatty. As a result, sm and its precursor lipids begin to accumulate in lysosomes, mainly in macrophages. Using a blood or skin sample (biopsy), experts measure how much sphingomyelinase is in white blood cells to confirm the diagnosis.

The most common forms are types a, b, and c.

It is not a medical authority nor does it claim to have medical knowledge. Type a, type b, type c1, and type c2. It is an autosomal recessive hereditary disease due to lack of the enzyme sphingomyelinase, which results in the accumulation of sphingomyelin within cells of the nervous system and organs such as liver, spleen, kidneys, lung and intestines. There are three common forms of the disease: This is a group of disorders. There is rapid degeneration of the nerves that leads to. Lipids (fatty materials such as waxes, fatty acids, oils, and cholesterol) and proteins are usually broken down into smaller components to provide energy for the body. It has a wide range of symptoms that vary in severity. These types are classified on the basis of genetic cause and the signs and symptoms of the condition. This condition causes the liver and the spleen to become enlarged and the child not to thrive. Type a, type b, type c1, and type c2. It has a wide range of symptoms that vary in severity. It has a wide range of symptoms that vary in severity.

Type a is a genetic disorder in which sphyingomyelin (ceramide phosphorylcholine) accumulates in cells of infants and young children. Dr daniel j bell and assoc prof frank gaillard et al. It has a wide range of symptoms that vary in severity. It has a wide range of symptoms that vary in severity. There are three common forms of the disease:

And Life Goes On...An Angel and a Rainbow: October is ...
And Life Goes On...An Angel and a Rainbow: October is ... from 3.bp.blogspot.com
It breaks down a fatty. They are divided into two groups of two based on the underlying metabolic deficiency: It is an autosomal recessive hereditary disease due to lack of the enzyme sphingomyelinase, which results in the accumulation of sphingomyelin within cells of the nervous system and organs such as liver, spleen, kidneys, lung and intestines. Mehr als 200.000 maschinen sofort verfügbar. Niemann beim führenden marktplatz für gebrauchtmaschinen kaufen. Type a, type b, type c1, and type c2. Deficiency of acid sphingomyelinase 1,3,4. There is rapid degeneration of the nerves that leads to.

This inability to process fats and lipids leads to rapid accumulation that.

There is rapid degeneration of the nerves that leads to. Type a, type b, type c1, and type c2. As a result, sm and its precursor lipids begin to accumulate in lysosomes, mainly in macrophages. It has a wide range of symptoms that vary in severity. It is an autosomal recessive hereditary disease due to lack of the enzyme sphingomyelinase, which results in the accumulation of sphingomyelin within cells of the nervous system and organs such as liver, spleen, kidneys, lung and intestines. Dr daniel j bell and assoc prof frank gaillard et al. It has a wide range of symptoms that vary in severity. These types are classified on the basis of genetic cause and the signs and symptoms of the condition. Deficiency of acid sphingomyelinase 1,3,4. Type a, type b, type c1, and type c2. Sofort kostenlos und ohne anmeldung anfragen This condition causes the liver and the spleen to become enlarged and the child not to thrive. Using a blood or skin sample (biopsy), experts measure how much sphingomyelinase is in white blood cells to confirm the diagnosis.

These types are classified on the basis of genetic cause and the signs and symptoms of the condition. As a result, sm and its precursor lipids begin to accumulate in lysosomes, mainly in macrophages. In 1914 albert niemann, a german pediatrician who primarily studied infant metabolism, published a description of an ashkenazi jewish infant with jaundice, nervous system and brain impairments, swollen lymph nodes (lymphadenopathy), and an enlarged liver and spleen (hepatosplenomegaly). Lipids (fatty materials such as waxes, fatty acids, oils, and cholesterol) and proteins are usually broken down into smaller components to provide energy for the body. Niemann beim führenden marktplatz für gebrauchtmaschinen kaufen.

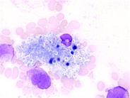
Niemann Pick Disease
Niemann Pick Disease from ski2freedom.com
Dr daniel j bell and assoc prof frank gaillard et al. Lipids (fatty materials such as waxes, fatty acids, oils, and cholesterol) and proteins are usually broken down into smaller components to provide energy for the body. Sofort kostenlos und ohne anmeldung anfragen People with this condition experience a build up of lipids in the spleen, liver, lungs, bone marrow, and brain. We believe in a future where all rare diseases are understood and treated. In types a and b, people lack an enzyme called acid sphingomyelinase (asm). There are three common forms of the disease: This inability to process fats and lipids leads to rapid accumulation that.

These cells malfunction and, over time, die.

In 1914 albert niemann, a german pediatrician who primarily studied infant metabolism, published a description of an ashkenazi jewish infant with jaundice, nervous system and brain impairments, swollen lymph nodes (lymphadenopathy), and an enlarged liver and spleen (hepatosplenomegaly). The most common forms are types a, b, and c. It has a wide range of symptoms that vary in severity. At npuk we are dedicated to supporting the individuals, families and friends affected by these conditions. People with this condition experience a build up of lipids in the spleen, liver, lungs, bone marrow, and brain. As a result, sm and its precursor lipids begin to accumulate in lysosomes, mainly in macrophages. This condition causes the liver and the spleen to become enlarged and the child not to thrive. We believe in a future where all rare diseases are understood and treated. These types are classified on the basis of genetic cause and the signs and symptoms of the condition. In types a and b, people lack an enzyme called acid sphingomyelinase (asm). This is a group of disorders. Approximately 50% of cases present before 10 years of age, but manifestations may first be recognized as late as the sixth decade. It has a wide range of symptoms that vary in severity.

In 1914 albert niemann, a german pediatrician who primarily studied infant metabolism, published a description of an ashkenazi jewish infant with jaundice, nervous system and brain impairments, swollen lymph nodes (lymphadenopathy), and an enlarged liver and spleen (hepatosplenomegaly) niemann. Type a is a genetic disorder in which sphyingomyelin (ceramide phosphorylcholine) accumulates in cells of infants and young children.

Posting Komentar

0 Komentar